
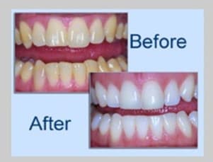
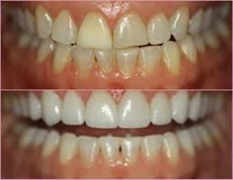
Zoom teeth whitening is one of the easiest, most effective ways to whiten your teeth. It is safe and clinically proven to whiten up to eight shades in just one office visit (approximately 90 minutes chair time). In addition to the in-office whitening, custom fitted trays are made for home touch-ups.

These custom fitted whitening trays can yield the same result as in-office whitening at a fraction of the cost. And, by using a custom fitted tray and stronger whitening solution, patients will see results faster than over the counter whitening strips and prevent gum irritation that commonly occurs when using over-the-counter whitening strips.
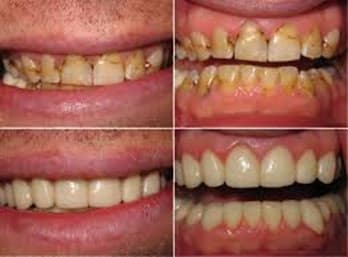
Veneers are porcelain laminates adhesively bonded to the surface of a tooth to correct and repair chips and cracks, close gaps in your teeth, and improve a worn appearance or severe tooth discoloration.

Smile makeovers involve a comprehensive assessment of your smile esthetics in order to improve overall appearance. Typically one or more cosmetic dentistry procedures, such as dental veneers, crowns, implants, gingival sculpting and teeth whitening, will be required for several teeth in both the upper and lower arches in order to achieve the look you want.
